Что такое цитограмма базалиомы. Как проводится цитологическое исследование при базальноклеточном раке кожи. Какие признаки выявляются при цитограмме базалиомы. Как интерпретируются результаты цитограммы при диагностике базалиомы.
Что такое цитограмма базалиомы?
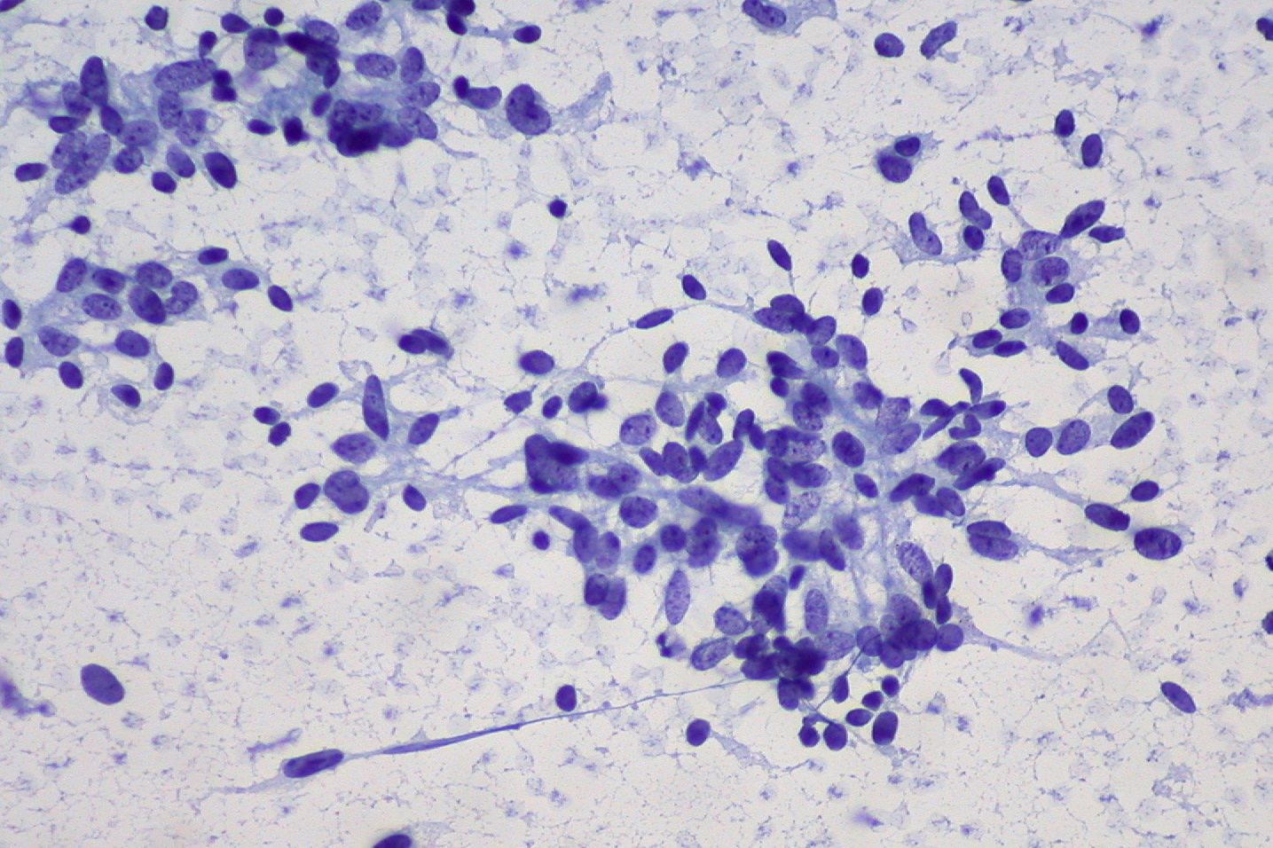
Цитограмма базалиомы — это метод цитологического исследования, применяемый для диагностики базальноклеточного рака кожи (базалиомы). Он заключается в микроскопическом изучении клеточного состава материала, полученного с поверхности опухоли.
Цитограмма позволяет выявить характерные признаки базалиомы на клеточном уровне и является важным диагностическим методом, дополняющим клинический осмотр и гистологическое исследование.
Как проводится цитологическое исследование при базалиоме?
Процедура получения материала для цитограммы базалиомы включает следующие этапы:
- Очищение поверхности опухоли антисептическим раствором
- Удаление поверхностных корочек и чешуек (при их наличии)
- Получение клеточного материала путем соскоба или отпечатка с поверхности опухоли
- Нанесение полученного материала тонким слоем на предметное стекло
- Высушивание и фиксация мазка
- Окрашивание препарата специальными красителями
Далее производится микроскопическое исследование окрашенного препарата врачом-цитологом с описанием обнаруженных клеточных элементов и формированием цитологического заключения.

Какие признаки выявляются при цитограмме базалиомы?
При цитологическом исследовании базалиомы могут быть обнаружены следующие характерные признаки:
- Наличие крупных комплексов и скоплений базалоидных клеток
- Преобладание мономорфных мелких клеток с высоким ядерно-цитоплазматическим соотношением
- Гиперхромные ядра клеток с нежно-сетчатым хроматином
- Наличие фигур митоза в клетках опухоли
- Присутствие клеток с признаками дистрофии и некроза
- Наличие элементов воспаления (лейкоциты, макрофаги)
Выявление данных цитологических признаков позволяет с высокой долей вероятности заподозрить наличие базальноклеточного рака кожи.
Как интерпретируются результаты цитограммы базалиомы?
На основании обнаруженных при цитологическом исследовании признаков врач-цитолог делает заключение, которое может содержать следующие варианты:
- Цитологическая картина базальноклеточного рака кожи
- Подозрение на базальноклеточный рак кожи
- Атипичные клетки (требуется дополнительное исследование)
- Клетки опухоли не обнаружены
Окончательный диагноз базалиомы устанавливается на основании комплекса данных — клинической картины, результатов цитологического и гистологического исследований.

Преимущества и недостатки цитограммы при диагностике базалиомы
Цитологическое исследование имеет ряд преимуществ при диагностике базальноклеточного рака кожи:
- Простота и быстрота получения материала
- Минимальная травматичность процедуры
- Возможность исследования труднодоступных участков кожи
- Высокая чувствительность метода (до 95%)
- Возможность многократного повторения исследования
К недостаткам цитограммы относятся:
- Невозможность оценки глубины инвазии опухоли
- Сложность дифференциальной диагностики некоторых форм базалиомы
- Зависимость результатов от качества получения материала
Несмотря на отдельные ограничения, цитологическое исследование является важным методом в комплексной диагностике базальноклеточного рака кожи, позволяющим быстро получить ценную информацию о характере новообразования.
Когда назначается цитограмма при подозрении на базалиому?
- При обнаружении подозрительного новообразования кожи на первичном осмотре
- Для уточнения диагноза при нетипичной клинической картине опухоли
- Для дифференциальной диагностики с другими новообразованиями кожи
- Для динамического наблюдения за ранее выявленной базалиомой
- При подозрении на рецидив опухоли после лечения
Важно помнить, что окончательный диагноз базальноклеточного рака кожи устанавливается только после проведения комплексного обследования, включающего гистологическое исследование.

Подготовка к проведению цитограммы базалиомы
Специальной подготовки пациента к проведению цитологического исследования базалиомы не требуется. Однако следует соблюдать некоторые рекомендации:
- За несколько дней до исследования не наносить на кожу в области новообразования косметические средства и лекарственные препараты
- Не травмировать опухоль, не пытаться самостоятельно удалить корочки
- Сообщить врачу о наличии аллергических реакций на медицинские препараты
- Проинформировать врача о принимаемых лекарствах, особенно влияющих на свертываемость крови
Соблюдение этих простых правил поможет получить качественный материал для исследования и избежать возможных осложнений процедуры.
Возможные осложнения после проведения цитограммы
Цитологическое исследование базалиомы является малоинвазивной и безопасной процедурой. Однако в редких случаях могут наблюдаться следующие осложнения:
- Незначительное кровотечение из места забора материала
- Болезненность в области исследования
- Местная аллергическая реакция на антисептики
- Инфицирование раневой поверхности (при несоблюдении правил асептики)
Для профилактики осложнений важно проводить процедуру в условиях медицинского учреждения с соблюдением всех санитарно-гигиенических требований. При появлении любых тревожных симптомов после исследования следует незамедлительно обратиться к врачу.

Заключение
Цитограмма является важным диагностическим методом при подозрении на базальноклеточный рак кожи. Она позволяет быстро получить информацию о характере новообразования на клеточном уровне. Однако для постановки окончательного диагноза необходимо комплексное обследование с применением других методов диагностики.
При обнаружении подозрительного образования на коже важно своевременно обратиться к врачу и пройти необходимое обследование. Ранняя диагностика базалиомы значительно повышает шансы на успешное лечение и благоприятный прогноз заболевания.
Виды рака кожи и мягких тканей
Содержание статьи:
- Особенности опухолей
- Виды заболевания
- Признаки
- Причины возникновения
- Признаки опухолей кожи и мягких тканей
- Особенности диагностики
- Лечение
- Прогнозы
Особенности опухолей мягких тканей
Злокачественные поражения мягких тканей встречаются редко, составляя не более 1% от всех онкологических заболеваний. Но агрессивность многих видов рака кожи или подлежащих тканей – очень высокая. Выявить их несколько проще, чем поражения внутренних органов, поскольку они формируют достаточно заметные изменения окраски кожи, ее внешнего вида или плотности тканей под эпидермисом.
Саркомы, поражающие мягкие ткани и относящиеся к злокачественным образованиям, могут появляться в области подкожной клетчатки, включая стромальные и жировые клетки, в мышечных элементах, кровеносных сосудах или лимфатических капиллярах, нервных волокнах, соединительной ткани суставов.
Локализация опухолей возможна в любой части тела, но более 50% из них поражают конечности (ноги и руки), остальная часть определятся в области шеи и головы, туловища, реже поражаются внутренние органы или забрюшинное пространство Источник:
З.Р. Хисматуллина
Новообразования кожи. Вопросы эпидемиологии, классификации, диагностики //
Креативная хирургия и онкология, 2010, с.69-73 .
При раннем обнаружении возможно радикальное удаление опухолей и благоприятный прогноз в отношении выздоровления.
Виды рака мягких тканей
Наиболее распространенный вид онкологии кожи – базальноклеточная карцинома. Это уплотненный участок кожи, имеющий обычную окраску или жемчужно-восковой оттенок. Обычно обнаруживается в области рук, шеи или головы, до 20% образований находят на оставшихся частях тела.
Другой вариант поражения кожи – плоскоклеточная карцинома, которая имеет вид незаживающей язвочки, пятен с отслоением чешуек эпителия, уплотненных покрасневших бугорков.
Самая частая локализация – спина и область груди, лицо или руки, шея, ушные раковины.
Еще одна разновидность – самая агрессивная – меланома, опухоль, возникающая в области родинок (пигментированных участков кожи). Для нее типично быстрое прогрессирование и высокая злокачественность. Обычно располагается в межпальцевых промежутках, в паху, на голове, туловище, спине.
Признаки
Типичные признаки рака мягких тканей – саркомы обнаруживаются в области кожи или подлежащих тканей. Изначально это безболезненное уплотнение, но по мере роста раздражаются нервы, возникает дискомфорт. Особенно опасны опухоли более 40-50 мм с проникновением вглубь тканей. Самые распространенные варианты саркомы:
- Опухоль жировых тканей – липосаркома. Типична для коленей, забрюшинного пространства и бедер.
- Образования из скелетных мышц – рабдомиосаркомы. Они поражают мышцы, участвующие в двигательных актах.
- Фибросаркомы – новообразования из соединительной ткани.
Обычно появляются между мышечными волокнами на плечах, бедрах или шее. - Синовиальные саркомы поражают оболочки крупных суставов в области рук и ног.
- Лейомиосаркомы возникают в области гладкомышечных элементов полых органов – тонкой кишки, матки, мочевого пузыря или желудка.
Разные типы сарком нервных клеток возникают в области нервных стволов. Это невриномы, симпатобластомы или шванномы.- Редким и склонным к быстрому метастазированию видом рака является гемангиосаркома, она повреждает стенки кровеносных сосудов.
- Крайне редкий вид лимфангиосаркомы повреждает лимфатические протоки и капилляры. Типична для женщин, у которых по каким-либо причинам проводилась мастэктомия (удалена молочная железа) Источник:
Л.Н. Ващенко, Т.В. Аушева, Е.Л. Ибрагимова, Е.М. Непомнящая
Некоторые клинические вопросы сарком мягких тканей //
Известия высших учебных заведений.
Северо-Кавказский регион. Естественные науки, 2013 .
Почему возникают опухоли мягких тканей и кожи
Для разных видов рака кожи ключевым провоцирующим фактором считается УФ-облучение. Длительное пребывание на открытом солнце, агрессивный загар, солнечные ожоги провоцируют эпителиальные и пигментные клетки к раковой трансформации. Особенно опасно это для светлокожих людей, жителей высокогорья и тех, у кого на теле много родинок и невусов.
Для всех опухолей в целом провокаторами могут выступать:
- Ионизирующие излучения, на их долю приходится до 5% рака. Опасны также облучения по поводу лечения других видов опухолей (лимфомы, рака груди). В целом проходит до 10 лет между радиотерапией и образованием сарком.
- Неблагоприятная наследственность по меланоме или саркоме, а также наличие некоторых генетических патологий, например, нейрофиброматоза – образования множественных фибром на теле, которые могут перерастать в рак.
- Синдром Гарднера опасен в плане развития опухолей мягких тканей.
При нем развивается полипоз или рак кишечника, а также фибросаркомы или опухоли других локализаций. - Провокаторами раковых опухолей могут стать частые повреждения мягких тканей, обширные хирургические вмешательства, нахождение в теле различных конструкций – спицы, пластины.
- Возможно влияние различных химических канцерогенов, повреждающих клетки. В результате страдает ДНК и возможно перерождение в рак.
- Наличие предраковых состояний, доброкачественных опухолей в некоторых ситуациях может приводить к переходу их в рак, например, при лейомиоме или рабдомиоме матки.
Признаки опухолей кожи и онкологии мягких тканей
Первые симптомы онкологических заболеваний кожи люди обычно обнаруживают в области рук или ног, реже – груди и спины. Нередко появлению необычной родинки или опухолевого участка предшествуют солнечные ожоги, травмы или интенсивные воздействия (мозоли, ссадины). Нередко опухоли проявляются на рубцующихся тканях, приводя к образованию бугорков, язвочек, шелушения кожи или неровной пигментации.
Для меланомы типичен ряд признаков – градация ABCDE, отличающих ее от всех других:
- A (от англ. asymmetry) – асимметричные края родинки;
- B (от англ. boundary) – неровные, оборванные края, зубчики;
- C (от англ. color) – окрашивание элемента неровное, с участками светлых и почти черных, голубоватых вкраплений;
- D (от англ. diameter) – разрастание более 50-60 мм в диметре;
- E (от англ. evolution) – быстрое изменение внешнего вида родинки в течение короткого времени.
Саркомы мягких тканей могут длительное время не давать выраженных симптомов, пока не достигают больших размеров и не начинают сдавливать сосуды и нервы. Возникают признаки невралгии, ощущение ползания мурашек, боль, онемение. Возможно общее недомогание, похудение, упадок сил, под кожей обнаруживается опухолевидное неровное уплотнение без четких краев. Оно может сдвигаться относительно тканей или неподвижное, очень твердое. На поверхности узлов возможно развитие незаживающих язв.
Если это опухоли мышц или суставов, связок, для них типична боль при движениях, но она может быть незначительной и часто рак диагностируют в поздней стадии, когда уже есть метастазы.
Особенности диагностики
Основа диагностики опухолей мягких тканей – это жалобы пациента, изменение внешнего вида родинок или подлежащих тканей. Для того чтобы уточнить природу опухоли, ее тип и степень злокачественности, составить план лечения, необходимы:
- Дерматоскопия – это исследование эпидермиса при помощи современного прибора дерматоскопия с подсветкой и оптикой.
- Забор биопсии для определения типа клеток.
- Рентгенография для определения поражения костей и мягких тканей при разных видах сарком.
- УЗИ для выявления опухолей в мягких тканях и органах.
- МРТ или КТ-сканирование для уточнения размеров, наличия метастазов в лимфоузлах или отдаленных органах.
- Ангиография, в том числе с контрастом для выявления опухолей сосудов.

- Дополняют эти методы анализы крови и мочи, исследование на онкомаркеры, а также гистологические, биохимические и цитологические анализы полученных образцов тканей во время биопсии Источник:
А.А. Модестов, Э.В. Семёнов, Р.А. Зуков, Е.В. Слепов, Е.Н. Еремина, Е.Н. Гаас
Новые подходы к организации скрининга злокачественных новообразований кожи.
Сибирский онкологический журнал, 2017, №16(2), с.61-65 .
Лечение рака мягких тканей
Основной способ лечения онкологических болезней кожи и подлежащих тканей – хирургическое иссечение опухоли в пределах здоровых тканей. Если образование большое, дополнительно проводится пластическая операция для улучшения внешнего вида. В некоторых случаях необходимо также удаление регионарных лимфоузлов.
Если опухоль неоперабельная либо нужно уменьшить ее размеры до операции, назначается химиотерапия современными препаратами с минимальными побочными эффектами и влиянием на организм. Возможно применение препаратов и после операции, чтобы уничтожить оставшиеся раковые клетки и предотвратить рецидивы.
Для меланомы разработаны протоколы таргетной терапии с прицельным воздействием только на раковые клетки специальными моноклональными антителами. Применяются методы иммунотерапии кожного рака с введением препаратов курсами для активизации собственной иммунной системы для борьбы с раком Источник:
Paulson KG, Lahman MC, Chapuis AG, Brownell I
Immunotherapy for skin cancer //
Int Immunol. 2019 Jul 13;31(7):465-475. doi: 10.1093/intimm/dxz012 .
Прогнозы
При раннем выявлении меланомы возможно полное избавление от рака с последующим длительным наблюдением за пациентом. При позднем обнаружении прогноз неблагоприятный, процент выживания за 5 лет не превышает 10-15%.
Для рака мягких тканей, особенно мышечных волокон, типично рецидивирование, особенно при неполном удалении опухолевых клеток. Наиболее благоприятный прогноз – у эмбриональной саркомы, выживаемость на 15-20% выше всех остальных типов рака. Чем младше возраст, тем лучше прогноз в отношении лечения Источник:
Linos E, Katz KA, Colditz GA
Skin Cancer-The Importance
of Prevention //
JAMA Intern Med.
2016 Oct 1;176(10):1435-1436. doi: 10.1001/jamainternmed.2016.5008 .
Для первой стадии благоприятный прогноз – до 80%, для второй – чуть более 60%, для запущенных форм болезни выживаемость не превышает 20-30%, при неоперабельном раке пациенты живут до 18 месяцев.
Источники:
- З.Р. Хисматуллина. Новообразования кожи. Вопросы эпидемиологии, классификации, диагностики // Креативная хирургия и онкология, 2010, с.69-73.
- Л.Н. Ващенко, Т.В. Аушева, Е.Л. Ибрагимова, Е.М. Непомнящая. Некоторые клинические вопросы сарком мягких тканей // Известия высших учебных заведений. Северо-Кавказский регион. Естественные науки, 2013.
- А.А. Модестов, Э.В. Семёнов, Р.А. Зуков, Е.В. Слепов, Е.Н. Еремина, Е.Н. Гаас. Новые подходы к организации скрининга злокачественных новообразований кожи. Сибирский онкологический журнал, 2017, №16(2), с.61-65.
- Paulson KG, Lahman MC, Chapuis AG, Brownell I. Immunotherapy for skin cancer // Int Immunol. 2019 Jul 13;31(7):465-475.
doi: 10.1093/intimm/dxz012. - Linos E, Katz KA, Colditz GA. Skin Cancer-The Importance of Prevention // JAMA Intern Med. 2016 Oct 1;176(10):1435-1436. doi: 10.1001/jamainternmed.2016.5008.
Информация проверена экспертом
Михайлов Алексей Геннадьевич оперирующий онколог, врач высшей квалификационной категории, к.м.н. стаж: 22 года
Информация в статье предоставлена в справочных целях и не заменяет консультации квалифицированного специалиста. Не занимайтесь самолечением! При первых признаках заболевания необходимо обратиться к врачу.
Виды рака кожи и мягких тканей
Содержание статьи:
- Особенности опухолей
- Виды заболевания
- Признаки
- Причины возникновения
- Признаки опухолей кожи и мягких тканей
- Особенности диагностики
- Лечение
- Прогнозы
Особенности опухолей мягких тканей
Злокачественные поражения мягких тканей встречаются редко, составляя не более 1% от всех онкологических заболеваний.
Но агрессивность многих видов рака кожи или подлежащих тканей – очень высокая. Выявить их несколько проще, чем поражения внутренних органов, поскольку они формируют достаточно заметные изменения окраски кожи, ее внешнего вида или плотности тканей под эпидермисом.
Саркомы, поражающие мягкие ткани и относящиеся к злокачественным образованиям, могут появляться в области подкожной клетчатки, включая стромальные и жировые клетки, в мышечных элементах, кровеносных сосудах или лимфатических капиллярах, нервных волокнах, соединительной ткани суставов. Локализация опухолей возможна в любой части тела, но более 50% из них поражают конечности (ноги и руки), остальная часть определятся в области шеи и головы, туловища, реже поражаются внутренние органы или забрюшинное пространство Источник:
З.Р. Хисматуллина
Новообразования кожи. Вопросы эпидемиологии, классификации, диагностики //
Креативная хирургия и онкология, 2010, с.69-73 .
При раннем обнаружении возможно радикальное удаление опухолей и благоприятный прогноз в отношении выздоровления.
Виды рака мягких тканей
Наиболее распространенный вид онкологии кожи – базальноклеточная карцинома. Это уплотненный участок кожи, имеющий обычную окраску или жемчужно-восковой оттенок. Обычно обнаруживается в области рук, шеи или головы, до 20% образований находят на оставшихся частях тела.
Другой вариант поражения кожи – плоскоклеточная карцинома, которая имеет вид незаживающей язвочки, пятен с отслоением чешуек эпителия, уплотненных покрасневших бугорков. Самая частая локализация – спина и область груди, лицо или руки, шея, ушные раковины.
Еще одна разновидность – самая агрессивная – меланома, опухоль, возникающая в области родинок (пигментированных участков кожи). Для нее типично быстрое прогрессирование и высокая злокачественность. Обычно располагается в межпальцевых промежутках, в паху, на голове, туловище, спине.
Признаки
Типичные признаки рака мягких тканей – саркомы обнаруживаются в области кожи или подлежащих тканей.
Изначально это безболезненное уплотнение, но по мере роста раздражаются нервы, возникает дискомфорт. Особенно опасны опухоли более 40-50 мм с проникновением вглубь тканей. Самые распространенные варианты саркомы:
- Опухоль жировых тканей – липосаркома. Типична для коленей, забрюшинного пространства и бедер.
- Образования из скелетных мышц – рабдомиосаркомы. Они поражают мышцы, участвующие в двигательных актах.
- Фибросаркомы – новообразования из соединительной ткани. Обычно появляются между мышечными волокнами на плечах, бедрах или шее.
- Синовиальные саркомы поражают оболочки крупных суставов в области рук и ног.
- Лейомиосаркомы возникают в области гладкомышечных элементов полых органов – тонкой кишки, матки, мочевого пузыря или желудка.
- Разные типы сарком нервных клеток возникают в области нервных стволов. Это невриномы, симпатобластомы или шванномы.

- Редким и склонным к быстрому метастазированию видом рака является гемангиосаркома, она повреждает стенки кровеносных сосудов.
- Крайне редкий вид лимфангиосаркомы повреждает лимфатические протоки и капилляры. Типична для женщин, у которых по каким-либо причинам проводилась мастэктомия (удалена молочная железа) Источник:
Л.Н. Ващенко, Т.В. Аушева, Е.Л. Ибрагимова, Е.М. Непомнящая
Некоторые клинические вопросы сарком мягких тканей //
Известия высших учебных заведений. Северо-Кавказский регион. Естественные науки, 2013 .
Почему возникают опухоли мягких тканей и кожи
Для разных видов рака кожи ключевым провоцирующим фактором считается УФ-облучение. Длительное пребывание на открытом солнце, агрессивный загар, солнечные ожоги провоцируют эпителиальные и пигментные клетки к раковой трансформации. Особенно опасно это для светлокожих людей, жителей высокогорья и тех, у кого на теле много родинок и невусов.
Для всех опухолей в целом провокаторами могут выступать:
- Ионизирующие излучения, на их долю приходится до 5% рака. Опасны также облучения по поводу лечения других видов опухолей (лимфомы, рака груди). В целом проходит до 10 лет между радиотерапией и образованием сарком.
- Неблагоприятная наследственность по меланоме или саркоме, а также наличие некоторых генетических патологий, например, нейрофиброматоза – образования множественных фибром на теле, которые могут перерастать в рак.
- Синдром Гарднера опасен в плане развития опухолей мягких тканей. При нем развивается полипоз или рак кишечника, а также фибросаркомы или опухоли других локализаций.
- Провокаторами раковых опухолей могут стать частые повреждения мягких тканей, обширные хирургические вмешательства, нахождение в теле различных конструкций – спицы, пластины.
- Возможно влияние различных химических канцерогенов, повреждающих клетки. В результате страдает ДНК и возможно перерождение в рак.

- Наличие предраковых состояний, доброкачественных опухолей в некоторых ситуациях может приводить к переходу их в рак, например, при лейомиоме или рабдомиоме матки.
Признаки опухолей кожи и онкологии мягких тканей
Первые симптомы онкологических заболеваний кожи люди обычно обнаруживают в области рук или ног, реже – груди и спины. Нередко появлению необычной родинки или опухолевого участка предшествуют солнечные ожоги, травмы или интенсивные воздействия (мозоли, ссадины). Нередко опухоли проявляются на рубцующихся тканях, приводя к образованию бугорков, язвочек, шелушения кожи или неровной пигментации.
Для меланомы типичен ряд признаков – градация ABCDE, отличающих ее от всех других:
- A (от англ. asymmetry) – асимметричные края родинки;
- B (от англ. boundary) – неровные, оборванные края, зубчики;
- C (от англ. color) – окрашивание элемента неровное, с участками светлых и почти черных, голубоватых вкраплений;
- D (от англ.
diameter) – разрастание более 50-60 мм в диметре; - E (от англ. evolution) – быстрое изменение внешнего вида родинки в течение короткого времени.
Саркомы мягких тканей могут длительное время не давать выраженных симптомов, пока не достигают больших размеров и не начинают сдавливать сосуды и нервы. Возникают признаки невралгии, ощущение ползания мурашек, боль, онемение. Возможно общее недомогание, похудение, упадок сил, под кожей обнаруживается опухолевидное неровное уплотнение без четких краев. Оно может сдвигаться относительно тканей или неподвижное, очень твердое. На поверхности узлов возможно развитие незаживающих язв.
Если это опухоли мышц или суставов, связок, для них типична боль при движениях, но она может быть незначительной и часто рак диагностируют в поздней стадии, когда уже есть метастазы.
Особенности диагностики
Основа диагностики опухолей мягких тканей – это жалобы пациента, изменение внешнего вида родинок или подлежащих тканей.
Для того чтобы уточнить природу опухоли, ее тип и степень злокачественности, составить план лечения, необходимы:
- Дерматоскопия – это исследование эпидермиса при помощи современного прибора дерматоскопия с подсветкой и оптикой.
- Забор биопсии для определения типа клеток.
- Рентгенография для определения поражения костей и мягких тканей при разных видах сарком.
- УЗИ для выявления опухолей в мягких тканях и органах.
- МРТ или КТ-сканирование для уточнения размеров, наличия метастазов в лимфоузлах или отдаленных органах.
- Ангиография, в том числе с контрастом для выявления опухолей сосудов.
- Дополняют эти методы анализы крови и мочи, исследование на онкомаркеры, а также гистологические, биохимические и цитологические анализы полученных образцов тканей во время биопсии Источник:
А.А. Модестов, Э.В. Семёнов, Р.А. Зуков, Е.В. Слепов, Е.Н. Еремина, Е.Н. Гаас
Новые подходы к организации скрининга злокачественных новообразований кожи.
Сибирский онкологический журнал, 2017, №16(2), с.61-65 .
Лечение рака мягких тканей
Основной способ лечения онкологических болезней кожи и подлежащих тканей – хирургическое иссечение опухоли в пределах здоровых тканей. Если образование большое, дополнительно проводится пластическая операция для улучшения внешнего вида. В некоторых случаях необходимо также удаление регионарных лимфоузлов.
Если опухоль неоперабельная либо нужно уменьшить ее размеры до операции, назначается химиотерапия современными препаратами с минимальными побочными эффектами и влиянием на организм. Возможно применение препаратов и после операции, чтобы уничтожить оставшиеся раковые клетки и предотвратить рецидивы.
Для меланомы разработаны протоколы таргетной терапии с прицельным воздействием только на раковые клетки специальными моноклональными антителами. Применяются методы иммунотерапии кожного рака с введением препаратов курсами для активизации собственной иммунной системы для борьбы с раком Источник:
Paulson KG, Lahman MC, Chapuis AG, Brownell I
Immunotherapy for skin cancer //
Int Immunol.
2019 Jul 13;31(7):465-475. doi: 10.1093/intimm/dxz012 .
Прогнозы
При раннем выявлении меланомы возможно полное избавление от рака с последующим длительным наблюдением за пациентом. При позднем обнаружении прогноз неблагоприятный, процент выживания за 5 лет не превышает 10-15%.
Для рака мягких тканей, особенно мышечных волокон, типично рецидивирование, особенно при неполном удалении опухолевых клеток. Наиболее благоприятный прогноз – у эмбриональной саркомы, выживаемость на 15-20% выше всех остальных типов рака. Чем младше возраст, тем лучше прогноз в отношении лечения Источник:
Linos E, Katz KA, Colditz GA
Skin Cancer-The Importance
of Prevention //
JAMA Intern Med. 2016 Oct 1;176(10):1435-1436. doi: 10.1001/jamainternmed.2016.5008 .
Для первой стадии благоприятный прогноз – до 80%, для второй – чуть более 60%, для запущенных форм болезни выживаемость не превышает 20-30%, при неоперабельном раке пациенты живут до 18 месяцев.
Источники:
- З.
Р. Хисматуллина. Новообразования кожи. Вопросы эпидемиологии, классификации, диагностики // Креативная хирургия и онкология, 2010, с.69-73. - Л.Н. Ващенко, Т.В. Аушева, Е.Л. Ибрагимова, Е.М. Непомнящая. Некоторые клинические вопросы сарком мягких тканей // Известия высших учебных заведений. Северо-Кавказский регион. Естественные науки, 2013.
- А.А. Модестов, Э.В. Семёнов, Р.А. Зуков, Е.В. Слепов, Е.Н. Еремина, Е.Н. Гаас. Новые подходы к организации скрининга злокачественных новообразований кожи. Сибирский онкологический журнал, 2017, №16(2), с.61-65.
- Paulson KG, Lahman MC, Chapuis AG, Brownell I. Immunotherapy for skin cancer // Int Immunol. 2019 Jul 13;31(7):465-475. doi: 10.1093/intimm/dxz012.
- Linos E, Katz KA, Colditz GA. Skin Cancer-The Importance of Prevention // JAMA Intern Med. 2016 Oct 1;176(10):1435-1436. doi: 10.1001/jamainternmed.2016.5008.
Информация проверена экспертом
Михайлов Алексей Геннадьевич
оперирующий онколог, врач высшей квалификационной категории, к.
м.н.
стаж: 22 года
Информация в статье предоставлена в справочных целях и не заменяет консультации квалифицированного специалиста. Не занимайтесь самолечением! При первых признаках заболевания необходимо обратиться к врачу.
применений Висмодегиб | Vinmec
Это автоматически переведенная статья.
Висмодегиб — это лекарство, используемое для лечения базальноклеточной карциномы у взрослых. Так как же следует использовать Висмодегиб для достижения высокой эффективности?
1. Применение Висмодегиб
Висмодегиб – это лекарство таргетного действия, называемое ингибитором пути ежа. Это означает, что препарат воздействует на путь (сигнальную цепь или событие), который способствует росту рака. Нарушение передачи сигналов hedgehog останавливает рост рака.
Висмодегиб показан для лечения базально-клеточного рака.
2. Как использовать Висмодегиб?
Висмодегиб выпускается в форме капсул для приема один раз в день.
Капсулы Висмодегиб следует проглатывать целиком, запивая стаканом воды; Капсулу нельзя разламывать, разжевывать или открывать.
Висмодегиб можно принимать независимо от приема пищи. Если вы пропустите дозу, пропустите пропущенную дозу и используйте следующую дозу в обычное время. Важно убедиться, что вы используете правильное количество Vismodegib каждый раз.
3. Каковы возможные побочные эффекты Висмодегиб?
Есть несколько способов справиться с побочными эффектами висмодегиба. Поговорите со своим врачом о возможных побочных эффектах висмодегиб. Вот некоторые распространенные побочные эффекты висмодегиба:
3. 1. Проблемы с мышцами при приеме висмодегиба При приеме висмодегиба могут возникать мышечные спазмы и мышечные боли. Поговорите со своим врачом, если вам нужно лекарство для лечения этой боли. Пейте много воды, прикладывайте тепло, когда начинается мышечный спазм, и лед после того, как мышечный спазм прекратился.
3.
2. Висмодегиб. Выпадение волос Во время применения Висмодегиба волосы могут стать тонкими, ломкими или выпадать. Обычно это начинается через две-три недели после лечения. Вы можете столкнуться с выпадением волос на других участках тела, включая лобковые волосы, волосы в подмышечных впадинах, волосы на ногах, волосы на руках, ресницы и волосы в носу.
3. 3. Тошнота и/или рвота Поговорите со своим врачом, чтобы он прописал вам лекарство, помогающее контролировать тошноту и рвоту. Кроме того, диетические изменения могут помочь вам улучшить это состояние. Избегайте продуктов, которые могут ухудшить симптомы, таких как жирная, острая или кислая пища (лимон, помидоры, апельсины).
3. 4. Висмодегиб Лекарственная диарея Ваш врач может порекомендовать лекарства для облегчения диареи. Кроме того, попробуйте есть такие продукты, как приготовленный на пару рис и вареную курицу или курицу на гриле. Избегайте сырых фруктов, овощей, цельнозернового хлеба, круп и орехов.
3. 5. Висмодегиб Усталость Усталость является очень распространенным состоянием во время лечения рака.

Обычно появляются между мышечными волокнами на плечах, бедрах или шее.
При нем развивается полипоз или рак кишечника, а также фибросаркомы или опухоли других локализаций.
doi: 10.1093/intimm/dxz012.

diameter) – разрастание более 50-60 мм в диметре;
Р. Хисматуллина. Новообразования кожи. Вопросы эпидемиологии, классификации, диагностики // Креативная хирургия и онкология, 2010, с.69-73.